Skip Menu
Continue
  • 443 South Broadway Street,
  • Unit A,
  • Joshua, TX 76058
  • Home
  • About Us
    • Our Office
    • New Patients
    • Smile Gallery
    • Dental Videos
    • Testimonials
  • Our Doctor
    • Uwadiae Uyigue, DDS
  • Services
      • Ceramic Crowns
      • Cosmetic Dentistry
      • Dental Bridges
      • Dental Fillings
      • Dentures
      • Digital Radiography
      • Emergency Treatment
      • Extractions
      • Implant Dentistry
      • Oral Cancer Screening
      • Pediatric Dentistry
      • Periodontal Treatment
      • Root Canals
      • Sedation Dentistry
      • Teeth Whitening
      • Veneers
    • View All
  • Dental Health
  • Contact
    • Contact Us
    • Request Appointment

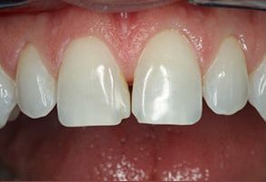
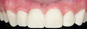
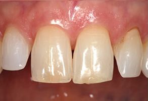
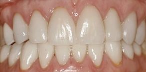
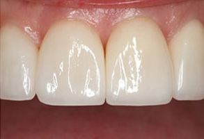
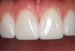
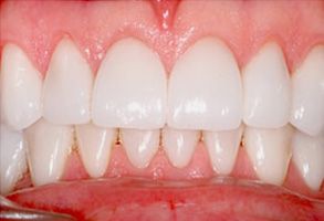
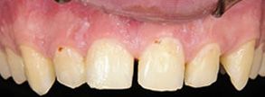
Smile Gallery

Additional Information

Our Location

443 South Broadway Street
Unit A
Joshua, TX 76058
(682) 317-9342

Follow Us